导航切换
首页
文献
视频
经典病例
指南共识
专题知识库
期刊列表
图表
文献
视频
经典病例
指南共识
专题知识库
期刊列表
图表
首页
文献
视频
经典病例
指南共识
专题知识库
期刊列表
图表
高级检索
图表检索
图/表 说明
高级检索
期刊
DOI
请选择
Chin Med Multimedia Press
中华产科急救电子杂志
中华肥胖与代谢病电子杂志
中华肺部疾病杂志(电子版)
中华妇幼临床医学杂志(电子版)
中华肝脏外科手术学电子杂志
中华关节外科杂志(电子版)
中华肩肘外科电子杂志
中华结直肠疾病电子杂志
中华介入放射学电子杂志
中华口腔医学研究杂志(电子版)
中华老年病研究电子杂志
中华老年骨科与康复电子杂志
中华临床实验室管理电子杂志
中华临床医师杂志(电子版)
中华脑科疾病与康复杂志(电子版)
中华脑血管病杂志(电子版)
中华普通外科学文献(电子版)
中华普外科手术学杂志(电子版)
中华腔镜泌尿外科杂志(电子版)
中华腔镜外科杂志(电子版)
中华乳腺病杂志(电子版)
中华疝和腹壁外科杂志(电子版)
中华神经创伤外科电子杂志
中华肾病研究电子杂志
中华实验和临床感染病杂志(电子版)
中华损伤与修复杂志(电子版)
中华危重症医学杂志(电子版)
中华卫生应急电子杂志
中华胃肠内镜电子杂志
中华胃食管反流病电子杂志
中华细胞与干细胞杂志(电子版)
中华消化病与影像杂志(电子版)
中华心脏与心律电子杂志
中华胸部外科电子杂志
中华眼科医学杂志(电子版)
中华医学超声杂志(电子版)
中华移植杂志(电子版)
中华针灸电子杂志
中华诊断学电子杂志
中华重症医学电子杂志
起始年
结束年
请选择
2005
2006
2007
2008
2009
2010
2011
2012
2013
2014
2015
2016
2017
2018
2019
2020
2021
2022
2023
2024
2025
2026
请选择
2026
2025
2024
2023
2022
2021
2020
2019
2018
2017
2016
2015
2014
2013
2012
2011
2010
2009
2008
2007
2006
2005
卷
期
作者
作者单位
发表年度
Loading ...
期刊
Loading ...
表2. 卟啉单胞菌属等口腔厌氧菌引起的口腔外疾病的临床病例
表1. 患者肺泡灌洗液mNGS分析
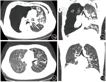
图1. 患者入院后胸部CT。图a、b为2024-01-08胸部CT。图a为轴位CT示右肺大片气胸,肺组织压缩;左肺支气管扩张,管壁增厚,沿支气管见散在斑片状、片状高密度模糊影,病变内见含气囊腔;图b为冠状位CT:右肺大片气胸,肺组织压缩约90%,左肺上叶、下叶散在支气管扩张,管壁增厚,沿支气管见散在斑片状模糊影,病变内见含气囊腔。图c、d为2024-01-22胸部CT。图c为轴位CT示右肺明显复张,右肺中叶见少许扩张支气管及周围渗出改变;左肺斑片状、片状高密度模糊影范围明显缩小,囊腔边缘边界清楚;图d为冠状位CT:右肺明显复张,右肺下叶见少许扩张支气管及周围渗出改变;左肺上叶舌段、下叶见小斑片状模糊影
图1. 患者转运路线
图2. 5-HT与铁死亡介导的脓毒症心肌病的机制图 注:箭头表示促进作用,平头表示抑制作用。CLP为盲肠结扎穿刺术;5-HT3R为5-HT3受体;sST2为可溶性生长刺激表达基因2蛋白,是白细胞介素-1受体家族的重要成员;CK-MB为肌酸激酶同工酶MB;Cardiomyocyte为心肌细胞;Tropisetron为托烷司琼;5-HT2BR为5-HT2B受体;PI3K为磷脂酰肌醇-3-激酶;Akt又称PKB,为蛋白激酶B;mTOR为哺乳动物雷帕霉素靶蛋白;HIF1α为缺氧诱导因子-1α;ABCD1为ATP结合盒转运蛋白D亚家族成员1;5-HT为5-羟色胺;Fyn为酪氨酸蛋白激酶Fyn;MAO-A为单胺氧化酶A;ROS为活性氧;NF-κB为核因子κB;SSRIs为选择性5-羟色胺再摄取抑制剂;SERT为5-羟色胺再摄取转运蛋白;Glutamate为谷氨酸;Cystine为胱氨酸;SLC3A2为溶质载体家族3成员2;SLC7A11为溶质载体家族7成员11;Cysteine为半胱氨酸;GSH为谷胱甘肽;Se为硒;GPX4为谷胱甘肽过氧化酶4;Lipid peroxides为脂质过氧化物;Ferroptosis为铁死亡;PUFAs为多不饱和脂肪酸;ACSL4为乙酰辅酶A合成酶长链家族成员4;LPCAT3为溶血磷脂酰胆碱酰基转移酶3;PUFAs-PE为多不饱和脂肪酸磷脂;LOX为脂氧合酶;POR为细胞色素P450氧化还原酶;PUFAs-OOH为脂质过氧化氢;PUFAs-OH为脂质醇;GTP为鸟苷三磷酸;GCH1为GTP环化水解酶1;BH4为四氢生物蝶呤;BH2即7,8-dihydrobiopterin,为7,8-二氢生物蝶呤;DHFR为二氢叶酸还原酶;CoQH2为泛醇;CoQ10为泛醌;FSP1为铁死亡抑制蛋白1;LPS为脂多糖;SLC39A14为溶质载体家族39成员14;LIP为不稳定铁池;Fenton为芬顿反应;Tf为转铁蛋白;TfR1为转铁蛋白受体1;Endosome为内体;STEAP3为STEAP3金属还原酶;Ferritin为铁蛋白;NCOA4为核受体共激活因子4;Ferritinophagy为铁自噬;SFXN1为线粒体膜蛋白sideroflexin1;DHODH为二氢乳清酸脱氢酶;mGPX4为线粒体GPX4;Mitochondrion为线粒体;5-HT1AR为5-HT1A受体;Immune cells为免疫细胞
图1. 5-HT与铁死亡介导的脓毒症心肌病的关系简图 注:5-HT为5-羟色胺;5-HTR为5-羟色胺受体
图6. CBD对CAF小鼠外周血清腺苷水平的影响 注:CON组为对照组;CAF组为咖啡因组;DZP组为DZP干预组;CBD组为CBD干预组;与对照组比较,
**
P
<0.01;与CAF组比较,
###
P
<0.001;CON为对照;CAF为咖啡因;DZP为地西泮;CBD为大麻二酚
图5. CBD对CAF小鼠下丘脑谷氨酸水平的影响 注:CON组为对照组;CAF组为咖啡因组;DZP组为DZP干预组;CBD组为CBD干预组;与对照组比较,
***
P
<0.001;与CAF组比较,
###
P
<0.001;CON为对照;CAF为咖啡因;DZP为地西泮;CBD为大麻二酚
图4. CBD对CAF组小鼠自主活动的影响。图a为CBD对CAF组小鼠活动总路程的影响;图b为CBD对CAF组小鼠活动平均速度的影响;图c为CBD对CAF组小鼠中央区域停留时间的影响 注:与对照组比较,
*
P
<0.05;与CAF组比较,
###
P
<0.001;CON为对照;CAF为咖啡因;DZP为地西泮;CBD为大麻二酚;DZP组为DZP干预组;CBD组为CBD干预组
图3. CBD对CAF组小鼠睡眠潜伏期和睡眠持续时间的影响。图a为CBD对CAF组小鼠睡眠潜伏期的影响;图b为CBD对CAF组小鼠睡眠持续时间的影响 注:与对照组比较,
**
P
<0.01,
***
P
<0.001;与CAF组比较,
###
P
<0.001;CON为对照;CAF为咖啡因;DZP为地西泮;CBD为大麻二酚;DZP组为DZP干预组;CBD组为CBD干预组;sleep latency为睡眠潜伏期;sleep duration为睡眠持续时间
图2. 不同浓度CBD对戊巴比妥钠诱导的镇静催眠作用的影响。图a为不同浓度CBD对小鼠睡眠潜伏期的影响;图b为不同浓度CBD对小鼠睡眠持续时间的影响 注:与对照组比较,
**
P
<0.01,
***
P
<0.001;CON为对照;CAF为咖啡因;DZP为地西泮;CBD为大麻二酚;sleep latency为睡眠潜伏期;sleep duration为睡眠持续时间
图1. 不同浓度CAF对戊巴比妥钠诱导的镇静催眠作用的影响。图a为不同浓度CAF对小鼠睡眠潜伏期的影响;图b为不同浓度CAF对小鼠睡眠持续时间的影响 注:与对照组比较,
*
P
<0.05,
**
P
<0.01,
***
P
<0.001;CON为对照;CAF为咖啡因;DZP为地西泮;CBD为大麻二酚;sleep latency为睡眠潜伏期;sleep duration为睡眠持续时间
表4. 3组患者治疗前后各症状表现评分比较(分,
x
¯
±
s
)
表3. 3组患者治疗前后各血脂指标水平比较(mmol/L,
x
¯
±
s
)
表2. 3组患者治疗前后各肝功能指标水平比较[U/L,
x
¯
±
s
]
表1. 3组基线特征及生理指标比较
表2. 夜间高血压影响因素分析
图1. RDW预测夜间高血压的ROC曲线 注:RDW为红细胞分布宽度;ROC曲线为受试者工作特征曲线;蓝色实线表示ROC曲线下面积(AUC);蓝色区域表示95%可信区间(95%CI)
表1. 非夜间高血压组和夜间高血压组一般资料比较
图7. 列线图预测首诊SCLC患者处于广泛期的决策曲线
跳至
页
第1页
共5651页
共113016条记录
首页
上一页
下一页
尾页
AI
小
编
AI小编
你好!我是《中华医学电子期刊资源库》AI小编,有什么可以帮您的吗?